Services

  • Autopsy procedures and macroscopic evaluation
  • Tissue processing, paraffin embedding and sectioning
  • Frozen OCT blocks and cryosectioning
  • H&E staining and special staining; serial/spaced sections
  • Immunohistochemistry (new antibody assay development)
  • Multiplex IHC/IF staining
  • Histopathology reports, Histologic scoring and IHC scoring 
  • Digital microphotography
  • Digital whole slide scan
  • Machine learning and AI-based image analysis via Visiopharm Software
  • Laser Capture Microdissection

Tissue processing/paraffin blocks and sections

Preparation of histological sections from tissues provided by investigators.

Tissue sectioning from frozen blocks

Preparation of OCT frozen block and histological cryosections from tissues provided by investigators.

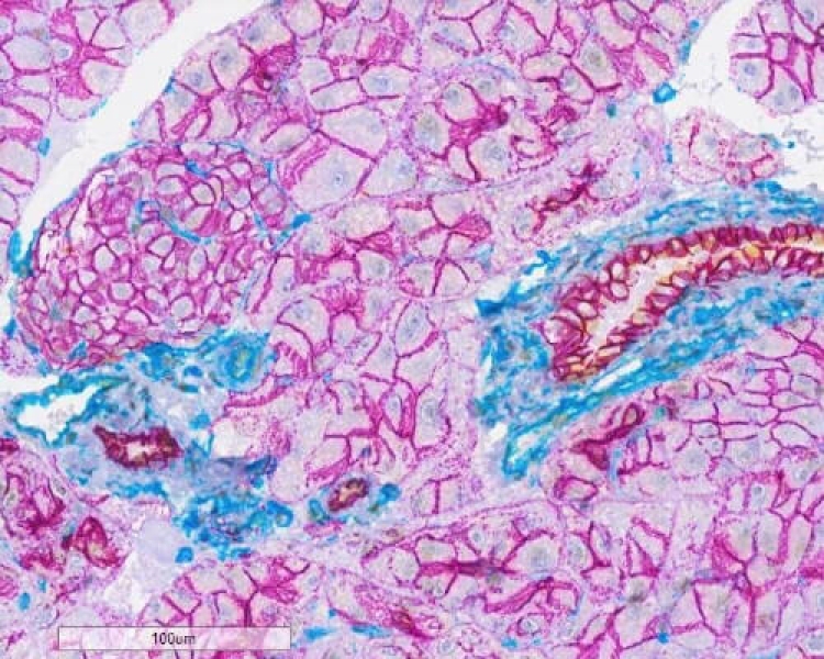
HE staining and special stain (Trichrome stain, etc.)

H&E and other traditional histological techniques for microscopic evaluation of tissues and cells.

  • Link to /sites/default/files/styles/slider_desktop/public/images/slide/he-staining-mouse-organs.jpg?itok=5iiStw1Z

    HE staining of mouse multiple organs

  • Link to /sites/default/files/styles/slider_desktop/public/images/slide/he-staining-organoid-mouse.jpg?itok=FQrpS4No

    HE staining of organoid from mouse esophagus squamous carcinoma

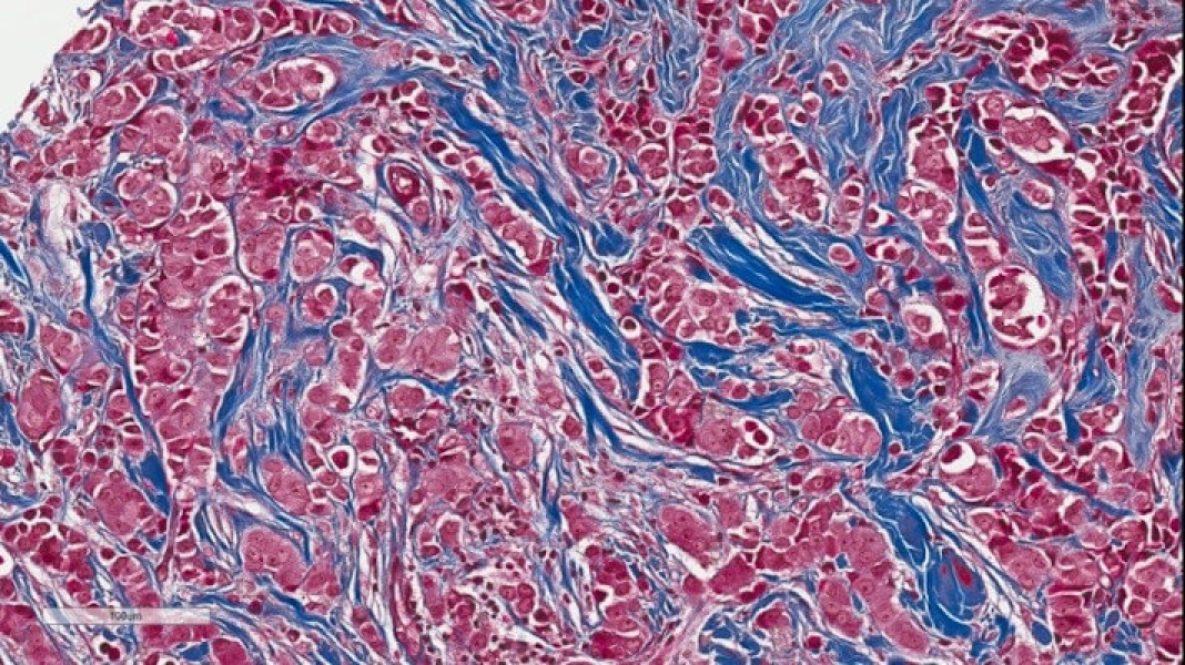
  • Link to /sites/default/files/styles/slider_desktop/public/images/slide/trichrome-staining-breast-cancer.jpg?itok=M6mHwUrJ

    Trichrome staining on breast cancer section

    Immunohistochemistry (IHC), since and multiplex IHC staining

    Detection of cancer-related proteins in tissue sections. Multiple immunohistochemistry (IHC) assays enable detection of multiple targets in one section.

    Single IHC Staining

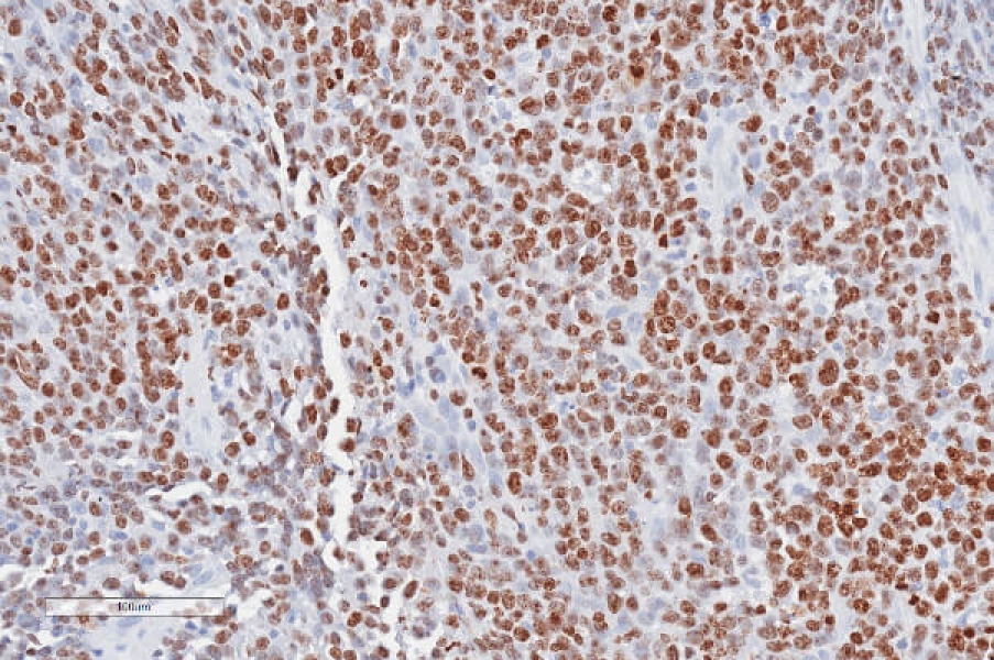
    • Link to /sites/default/files/styles/slider_desktop/public/images/slide/ihc-staining-ki-67.jpg?itok=K3RRqmoZ

      Single IHC staining (proliferative marker: ki-67 nuclear)

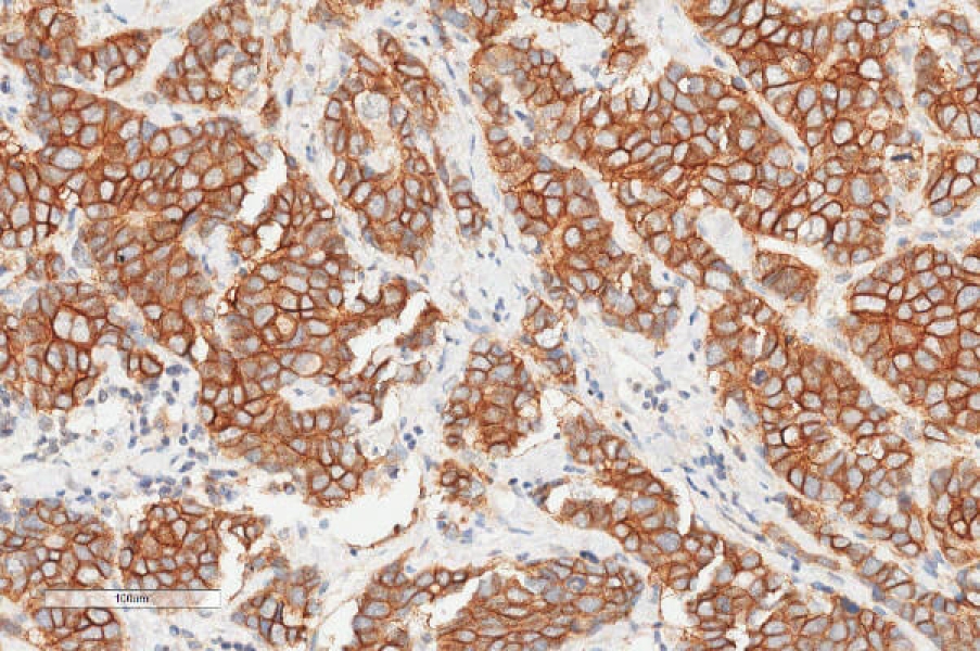
    • Link to /sites/default/files/styles/slider_desktop/public/images/slide/ihc-staining-her-2.jpg?itok=1_lFfpUs

      Single IHC staining (membrane marker: Her-2)

    • Link to /sites/default/files/styles/slider_desktop/public/images/slide/ihc-staining-ps6.jpg?itok=AGkOMpyH

      Single IHC staining (cytoplasmic marker: pS6)

      Available Double IHC panels

      • Link to /sites/default/files/styles/slider_desktop/public/images/slide/pd-l1-brown-red.jpg?itok=aghzv7FG

        PD-L1 (Brown DAB) Ki-67 (Red)

      • Link to /sites/default/files/styles/slider_desktop/public/images/slide/e-cadherin-purple-teal.jpg?itok=7C3Su3Y5

        E-Cadherin (Purple) Vimentin (Teal)

      • Link to /sites/default/files/styles/slider_desktop/public/images/slide/pstat-1-purple-teal.jpg?itok=QSD0wlCh

        pSTAT1 (Purple) HSV1 (Teal)

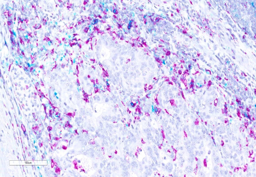
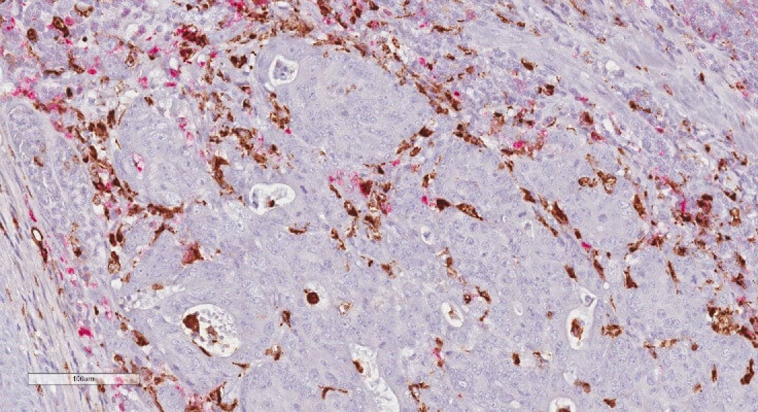
      • Link to /sites/default/files/styles/slider_desktop/public/images/slide/cd-68-purple-teal.jpg?itok=3V1kGc6M

        CD68 (Purple) MERTK (Teal)

      • Link to /sites/default/files/styles/slider_desktop/public/images/slide/cd-68-red.jpg?itok=b9xU1CUK

        CD68 (DAB) MERTK (Red)

        Interpretative pathology and histopathology reports

        Facility pathologists read slides and report on abnormalities found when requested.

        Digital photography

        Facility pathologists document microscopic findings when requested

        Digital whole slide scan

        • Link to /sites/default/files/styles/slider_desktop/public/images/slide/digital-whole-slide-scan.jpg?itok=96Lqe6pi

          Facility provides whole slide scanning using Leica Aperio scanner

          IHC manual score and digital image analysis

          Advanced computer-assisted image analyzers that permit morphometric and densitometric analysis of tissue components and IHC reactions.

          • Link to /sites/default/files/styles/slider_desktop/public/images/slide/quantitative-image-analysis-nuclear%20%281%29.jpg?itok=Ba7_qNoN

            Nuclear marker quantitative image analysis (p53 quantification)

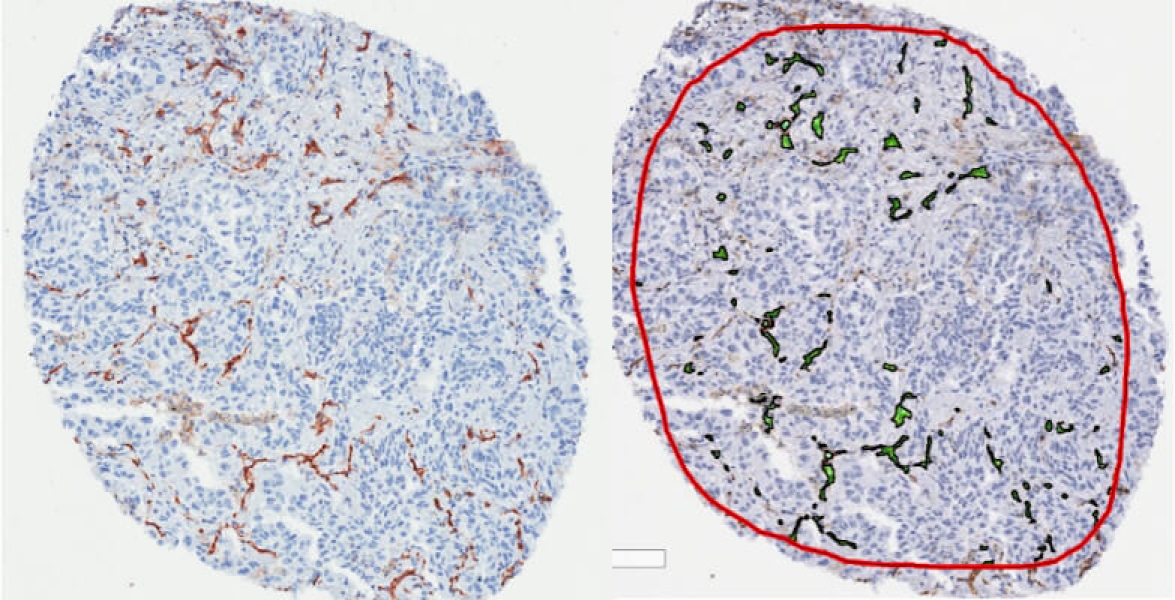
          • Link to /sites/default/files/styles/slider_desktop/public/images/slide/microvessel-density-count.jpg?itok=WNSMUDl3

            Microvessel Density Count (CD31 quantification)

          • Link to /sites/default/files/styles/slider_desktop/public/images/slide/quantitative-image-analysis.jpg?itok=WwsOfsKv

            Quantitative image analysis (Lung metastasis quantification)

            Tissue Microarray analysis (morphology and IHC evaluation)

            Facility pathologists provide the morphology and IHC evaluation of Tissue microarray slide.

            • Link to /sites/default/files/styles/slider_desktop/public/images/slide/quantitative-image-analysis-ki-67-staining.jpg?itok=Lb2JhqSl

              Quantitative image analysis on proliferative Index labeled by ki-67 staining on TMA section

            • Link to /sites/default/files/styles/slider_desktop/public/images/slide/quantitative-image-analysis-collagen-staining.jpg?itok=xY4afjsg

              Quantitative image analysis on Collagen staining on TMA section

              Laser Capture Microdissection

              Capable of isolating Normal, Tumor, or Stroma components from either frozen and paraffin sections. Insure the pure cell populations for downstream DNA, RNA and proteomics analysis.

              • Link to /sites/default/files/styles/slider_desktop/public/images/slide/breast-microdissection.jpg?itok=SS6JLMSt

                Laser Capture Microdissection of breast tumor cells

                This facility derives partial funding from the FCCC Cancer Center Support Grant (CCSG) from the National Cancer Institute.