Cell Gallery

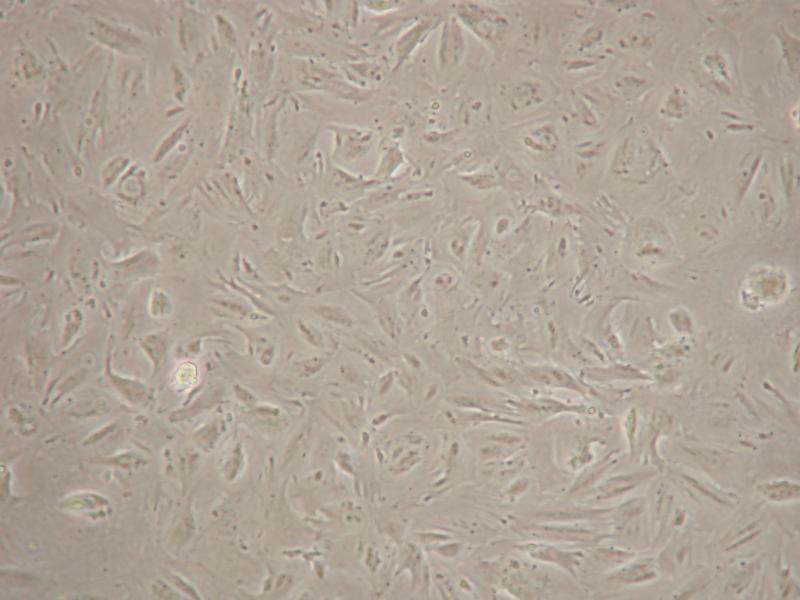
  • Human Tongue Fibroblast Cells (FC-HN2 IIA)

    Human Tongue Fibroblast Cells (FC-HN2 IIA)1

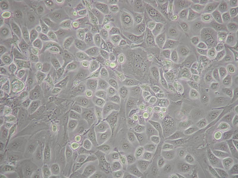
  • Human Tongue Epithelial Cells (FC-HN2 Low Cal)

    Human Tongue Epithelial Cells (FC-HN2 Low Cal)1

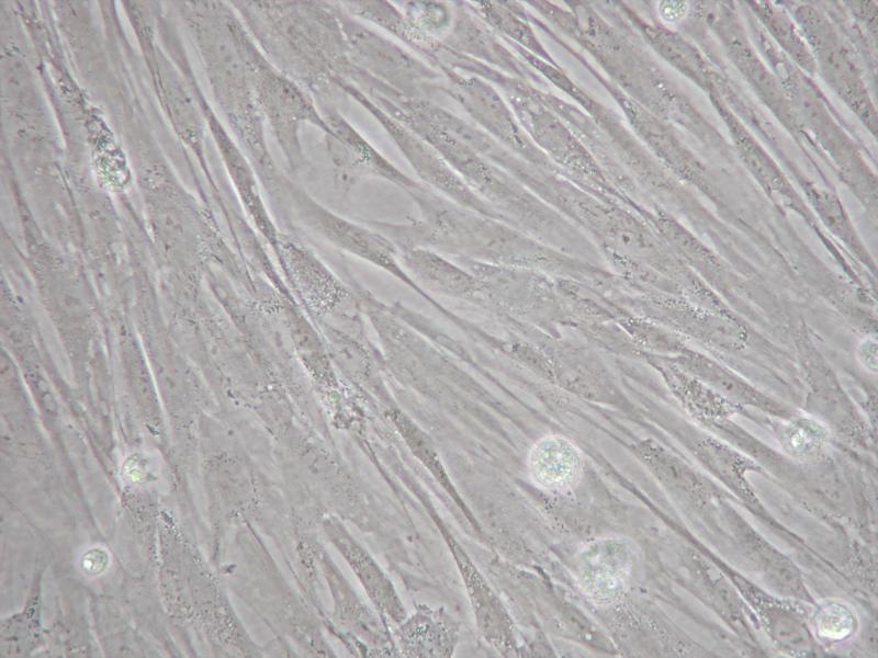
  • SID 511 Normal Human Colon Fibroblast Cells

    SID 511 Normal Human Colon Fibroblast Cells2

  • SID 622 FAP Human Colon Fibroblast Cells

    SID 622 FAP Human Colon Fibroblast Cells2

  • SID 333 FAP Human Colon Epithelial Cells

    SID 333 FAP Human Colon Epithelial Cells2

  • SID 622 FAP Human Colon Epithelial Cells

    SID 622 FAP Human Colon Epithelial Cells2

  • Mouse Liver Epithelial Cells

    Mouse Liver Epithelial Cells3

  • Mouse Lung Endothelial Cells

    Mouse Lung Endothelial Cells4

  • Mouse Skin Fibroblast Cells

    Mouse Skin Fibroblast Cells5

  • Mouse Mammary Epithelial Cells

    Mouse Mammary Epithelial Cells6  

  • Mouse Melanoma Cells

    Mouse Melanoma Cells7

  • Embyronic Stem (ES) Cell Colonies on an Irradiated MEF (Feeder) Layer

    Embyronic Stem (ES) Cell Colonies on an Irradiated MEF (Feeder) Layer

     

     

    1. Photos are from cell lines developed as part of the Head and Neck Keystone
    2. Photos are from cell lines developed as part of the Colon Master Agreement
    3. Photo from a cell line developed in conjunction with the Testa lab
    4. Photo from a cell line developed in conjunction with the Chernoff lab
    5. Photo from a cell line developed in conjunction with the Kruger lab
    6. Photo from a cell line developed in conjunction with the Hopper lab
    7. Photo from a cell line developed in conjunction with the Mintz lab