This Fox Chase professor participates in the Undergraduate Summer Research Fellowship.
Learn more about Research Volunteering.

This Fox Chase professor participates in the Undergraduate Summer Research Fellowship.
Learn more about Research Volunteering.
Professor
Adjunct Professor, Fels Institute for Cancer Research and Molecular Biology, Temple University School of Medicine
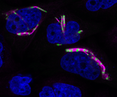
The nuclear lamina is a protein meshwork found under the inner nuclear membrane of metazoan cells. Defects in the nuclear lamina are associated with a variety of diseases, including cancer. One function of the nuclear lamina is to organize epigenetically silent genes and heterochromatin at the inner nuclear periphery. Our siRNA-based epigenetic screening approach has identified a previously unstudied human protein, PRR14, that functions to tether heterochromatin to the nuclear lamina. Furthermore, PRR14 assembles in stepwise manner at mitotic exit, first binding to heterochromatin on anaphase chromosomes, followed by re-association with the nuclear lamina. We have proposed that PRR14 may thereby guide the reattachment of heterochromatin. We are currently using a variety of methods to further elucidate the detailed mechanisms and mitotic dynamics of heterochromatin-nuclear lamina interactions.
(in collaboration with J.P. Issa, Cancer Epigenetics Program)
A genome-wide, gene-by-gene siRNA-based knockdown screen has been developed to identify novel factors and networks that maintain epigenetic gene silencing in human cells. A human reporter cell system was devised whereby reactivation of an epigenetically silent green fluorescent protein (GFP) gene provides a high throughput readout. Such screens have the potential to identify novel cellular pathways that mark chromatin for epigenetic silencing, and thus reveal new targets for epigenetic therapy of cancer and other diseases. Recent studies have focused on the detailed characterization of several novel epigenetic silencing factors identified through this approach.
(in collaboration with A. Bellacosa, Cancer Epigenetics Program)
A prominent feature of melanoma is phenotypic and functional cellular heterogeneity. We developed a system to study melanoma cell plasticity in culture, whereby genes that drive this process can be identified. The biological relevance of these factors is then assessed in human melanoma tissues. We thereby can detect candidate factors that can serve as novel targets for therapy, or as biomarkers. We recently identified the human ID4 protein as a mediator of plasticity, and it was found to be highly expressed in melanoma tissues.
(in collaboration with A.M. Skalka, Blood Cell Development and Function)
Integrated retroviral DNA is subject to epigenetic silencing in human cells. We previously showed that the human Daxx protein is an antiviral factor that binds to the incoming retroviral DNA-protein complex, and acts as an adapter to recruit epigenetic silencing factors. These results have important implications for how human cells can respond to foreign viral DNA.
(in collaboration with X. Chen, Cancer Epigenetics Program).
As part of our collaborative effort to characterize factors encoded by novel breast cancer genes, we have implemented the BioID method to identify functional binding partners. BioID detects candidate binding partners in live cells, and our initial data sets are highly informative.
Epigenetic Regulation in Cancer and Normal Cells
Laboratory Alumni/ae
Caroline Burlingame Laurie-Ann Davis Rushaniya Fazliyeva Katelyn M. Mansfield Shayan Patel |
Yuval Peretz, PhD Andrey Poleshko, PhD Neil Shah Natalia Shalginskikh, PhD |
Katz, R.A., Jack-Scott, E., Narezkina, A., Palagin, I., Boimel, P., Kulkosky, J., Nicolas, E., Greger, J.G., Skalka, A.M. High-frequency epigenetic repression and silencing of retroviruses can be antagonized by histone deacetylase inhibitors and transcriptional activators, but uniform reactivation in cell clones is restricted by additional mechanisms. J. Virol. 81:2592-2604, 2007. PMCID: PMC1866008
Greger, J.G., Katz, R.A., Ishov, A.M., Maul, G.G., Skalka, A.M. The cellular protein daxx interacts with avian sarcoma virus integrase and viral DNA to repress viral transcription. J. Virol. 79:4610-4618, 2005. PMCID: PMC1069566 Collapse
This Fox Chase professor participates in the Undergraduate Summer Research Fellowship.
Learn more about Research Volunteering.